Καλύπτουμε όλο το φάσμα της ακίνητης και κινητής προσθετικής τόσο επί δοντιών όσο και επί εμφυτευμάτων. Αναλυτικότερα, ανάλογα με τις βιολογικές και αισθητικές ανάγκες των ασθενών μας, παρέχουμε:
Αποκατάσταση της συγγενούς έλλειψης του πλαγίου τομέα σε ανήλικη ασθενή με γέφυρα τύπου Maryland, η οποία συγκολλάται στα όμορα δόντια χωρίς να προηγηθεί καθόλου τροχισμός και καθόλου αφαίρεση οδοντικής ουσίας.


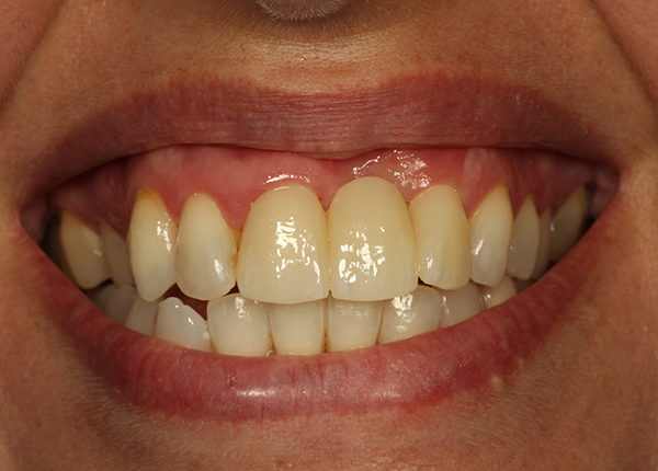
Οι εκτεταμένες αποκαταστάσεις ρητίνης στους δύο κεντρικούς τομείς αντικαταστάθηκαν από δύο στεφάνες ζιρκονίας.


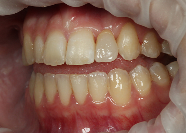
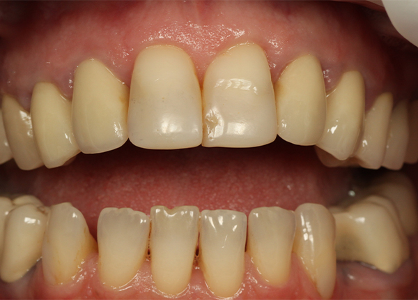
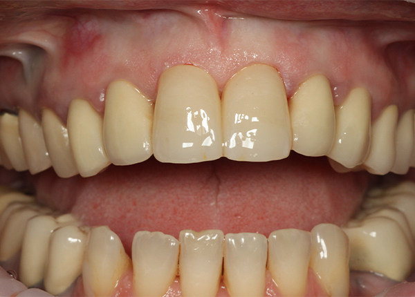
Αντικατάσταση μεταλλοακρυλικής γέφυρας Maryland και παλαιάς όψης ρητίνης στους δύο κεντρικούς με γέφυρα ζιρκoνίας τριών τεμαχίων.


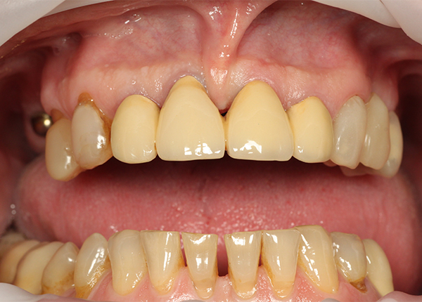
Ολική αποκατάσταση άνω γνάθου με αντικατάσταση των παλαιών στεφανών επί δοντιών στην πρόσθια περιοχή και εμφυτεύματα στις οπίσθιες περιοχές αμφοτερόπλευρα.


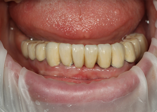
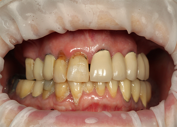
Αντικατάσταση παλαιών προσθετικών στην κάτω γνάθο με ακίνητη γέφυρα ολικού τόξου επί των 7 εναπομείναντων δοντιών και ισάριθμων τηλεσκοπικών στεφανών.




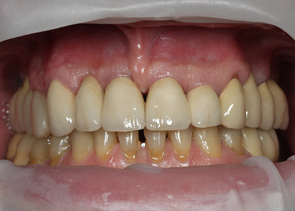
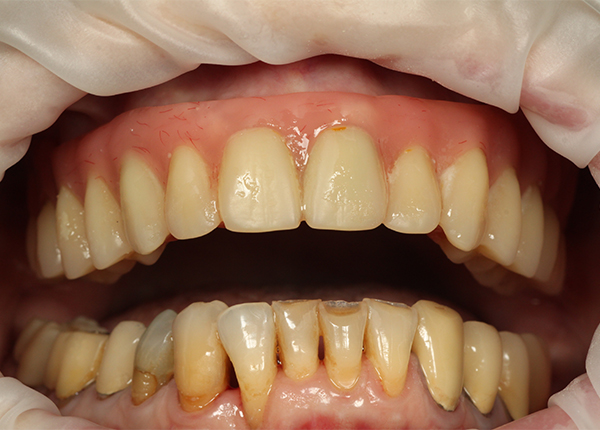
Επένθετη ολική οδοντοστοιχία της άνω γνάθου χωρίς υπερώα, με στήριξη σε τηλεσκοπικές στεφάνες επί των τεσσάρων εναπομείναντων δοντιών.


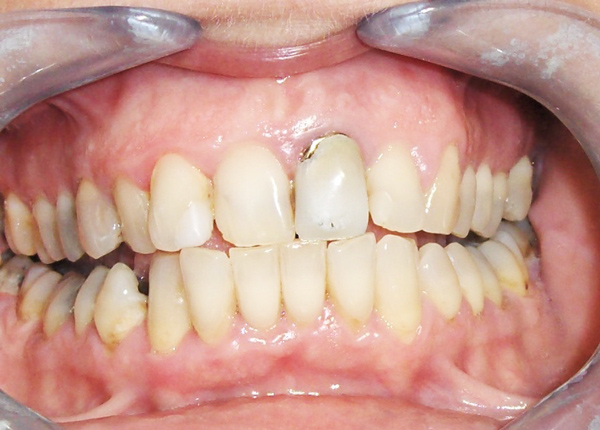
Αλλαγή της χρυσοακρυλικής στεφάνης και της όψης ρητίνης στους 2 κεντρικούς τομείς με 2 ολοκεραμικές στεφάνες.



